歯科用セラミック(陶材)を用いて作られた、金属を一切使用しないメタルフリー素材の白い被せ物です。ジルコニアと比較すると強度はやや劣りますが、色調豊かな優れた審美性が特徴です。
審美歯科
白く美しく、むし歯や歯周病に
なりにくい歯を手に入れる
審美治療

お口元にこのようなお悩みは
ありませんか?
- 過去に入れた銀歯やプラスチックの歯が
気になる - ナチュラルな見た目の白い歯になりたい
- 歯の色・形・歯並びをキレイにしたい
- すきっ歯や出っ歯が気になる
- むし歯や歯周病になりにくい被せ物にしたい
- 長持ちする上質な歯にしたい
- 金属アレルギーが心配 など
上記のようなお悩み・ご希望がありましたら、ぜひ当院にお任せください。
当院長はこれまでに通算1000本以上のセラミック治療を担当し、たくさんの素敵な笑顔をサポートしてきました。その経験と知識を最大限に活かし、あなたにぴったりの美しい歯をお届けいたします。
当院の審美治療の特徴

-
美しく長持ちする精密な治療
当院では、『自然美』と『機能性』を兼ね備えた審美治療をご提供しています。身体に優しい上質な材料を取り揃えるのはもちろん、治療プロセスにおいても目に見えない部分にまでこだわる精密な治療を行います。
歯を削る量を必要最小限に抑え、補綴物(詰め物や被せ物など)の接着を緻密に行うことで、むし歯リスクの少ないより自然に長持ちする歯に仕上げます。 -
治療後も安心の保証制度
当院ではセラミック治療において『10年間の全額保証』をお約束しております。治療後も責任を持ってサポートし、質の高いセラミック治療を安心して受けていただけます。
※定期的なチェックが必要なため、こちらの保証は半年に1回以上定期検診に通っていただく方が対象となります。 - まずはお気軽にカウンセリングへ カウンセリングにてお悩みやご希望を丁寧にお伺いし、それぞれの患者さんに合わせた治療プランをご提案させていただきます。費用や期間などお見積もりを行い、ご自宅でじっくりと検討していただくことも可能ですので、お気軽にご相談いただきたいと思います。
素材の特徴について(自由診療)

クラウン(被せ物)の種類・特徴
e-maxセラミッククラウン

フルジルコニアクラウン
人工ダイヤモンドとも呼ばれるジルコニアの強度を活かし、固いものを噛んでも被せ物が壊れにくい優れた耐久性が特徴です。より透明感の強いものや、より自然な色味を持つものなど、適用箇所やご希望に合わせて再現することが可能です。

ジルコニアボンドクラウン
外側に歯科用セラミック(陶材)を築盛し、内側のフレームにジルコニアを使用して作られた最高品質の被せ物です。色味・透明感ともに非常に優れ、天然歯と見間違うような修復物を製作することが可能です。見た目も耐久性もこだわりたいという方におすすめです。

ゴールドクラウン
金合金や白金加金など安定した貴金属を用いた被せ物です。目立ちやすさはありますが、しなやかなで歯との相性が良く、歯科修復材としての臨床実績は高く評価されています。奥歯(臼歯)など目立たないところにおすすめしています。

インレー(詰め物)の種類・特徴
e-maxインレー
機能性と審美性を兼ね備えたセラミック素材の詰め物です。ジルコニアと比べると強度は劣りますが、歯のエナメル質と同等の強度を持ち、インレーのような部分的な詰め物では第一選択となります。

ジルコニアインレー
人工ダイヤモンドとも呼ばれるジルコニアの優れた強度・耐久性を活かした詰め物です。変色せず汚れもつきにくいため衛生面にも優れ、再治療のリスクも低減できる長持ちしやすい素材です。噛み合わせの強い方や、金属アレルギーの方にも安心してお使いいただけます。

ゴールドインレー
ゴールドインレーは、保険治療で使われている金属よりも柔軟性があり適合が良いため、むし歯になりづらい素材とされています。見た目の目立ちやすさがあるため、主に奥歯の詰め物として使用となります。安心の長期臨床成績を示します。

ダイレクトボンディングについて

自身の歯を長く保ちやすい審美治療法
適応症:セラミックで治療しなければ
ならないほど大きいむし歯ではない場合
コンポジットレジン(CR)という特殊な合成樹脂(強化プラスチック)を用いて、直接お口の中で歯に盛り付けながら、歯の形態を修復していく治療法です。上記のようなセラミックを用いた治療と比べ、歯を削る量を抑えることができるため、長期的な観点から見た時に「自身の歯を長く保ちやすい」治療法と言えます。
また治療費も比較的低く抑えることができ、強度・審美性ともに自然な仕上がりにすることができます。直接歯に盛り付けていくので来院回数も少なくて済み、メタルフリーな素材ですので金属アレルギーの心配もいりません。
保険で行うコンポジットレジン修復
との違いは
ダイレクトボンディングは、治療がより精密であること、そして使用する接着剤とコンポジットレジン等の材料が自費専用の高機能なものであることです。これにより再度むし歯になりづらくなり、さらに材料が硬いため歯ぎしりなどによる咬耗(消耗)を減少させることができます。
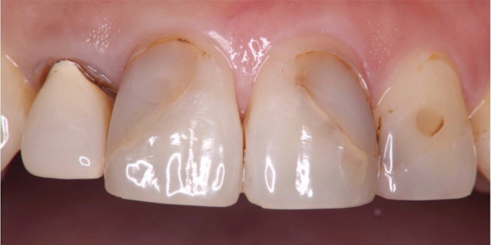
症例
ダイレクトボンディング①
BEFORE

AFTER

ダイレクトボンディング②
BEFORE

AFTER

料金表
ダイレクトボンディング(単純) | 22,000円 |
---|---|
ダイレクトボンディング(複雑) | 33,000円 |
e-maxインレー(詰め物) | 44,000円 |
ジルコニアインレー(詰め物) | 44,000円 |
ゴールドインレー(詰め物) | 44,000円 |
e-maxセラミッククラウン(被せ物) | 88,000円 |
フルジルコニアクラウン(被せ物) | 88,000円 |
ジルコニアボンドクラウン(被せ物) | 132,000円 |
ゴールドクラウン(被せ物) | 88,000円 |
テンポラリークラウン | 2,200円 |